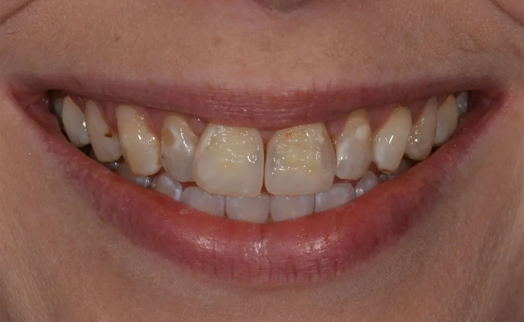
Our smile makeover gallery showcases the difference that expert, personalised dental care can make. From subtle enhancements to full smile transformations, each result is a reflection of the care, precision, and dedication of our team.
Whether you’re considering teeth whitening, composite bonding, veneers, or a full smile makeover, this gallery highlights the natural-looking, confidence-boosting outcomes our patients have achieved.
Browse through our before-and-after photos to see how we’ve helped patients across Crossgar, Downpatrick, and beyond smile with pride.


Implants are the ideal option for replacing missing teeth. Implants can be used to:
Replace a single tooth
Replace multiple teeth
Provide stability for dentures
Replace a full arch
Provide a long-lasting smile
Improve oral health
Let you eat what you want!
Ceramic veneers are thin sheets of porcelain that are bonded onto the front surface of the teeth to create a perfect and natural looking smile. To avoid the teeth looking too bulky, some preparation is often required.
Veneers can completely change the look of a smile, and typically do not need to be replaced for over 15 years.

